Accueil Info Info en continu « C’est un combat permanent » : depuis 2010, cette famille de l’Orne se bat pour les enfants malades

« C’est un combat permanent » : depuis 2010, cette famille de l’Orne se bat pour les enfants malades

...
photo  philippe léon, dans la salle de jeux du service de pédiatrie de l’hôpital d’alençon, équipée par l’association un geste, un rêve, un sourire.  ©  ouest-france 2

Philippe Léon, dans la salle de jeux du service de pédiatrie de l’hôpital d’Alençon, équipée par l’association Un geste, un rêve, un sourire. © Ouest-France

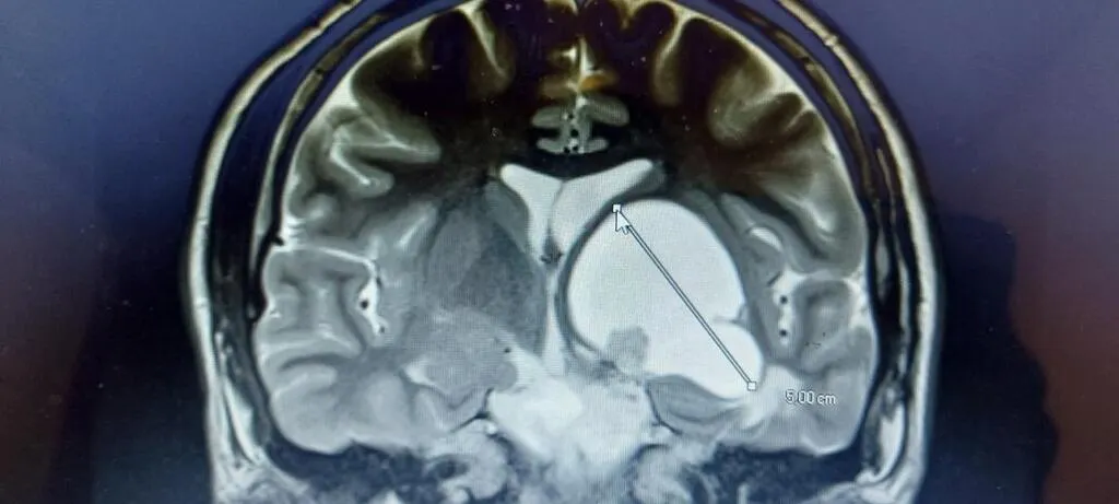
En 2008, Philippe et Fabienne Léon découvraient la présence d’une tumeur de quatre centimètres dans le cerveau de leur fils Nathanaël, alors âgé de 5 ans. Deux ans plus tard, ils créaient l’association Un geste, un rêve un sourire. Depuis, ils se démènent pour améliorer le quotidien des enfants malades et handicapés.

Cela fait maintenant treize ans que l’association Un geste, un rêve, un sourire œuvre pour améliorer le quotidien des enfants malades. « On aurait aimé fêter les ...

 

Cet article est réservé aux abonnés

Pour un accès immédiat, abonnez-vous

1ère semaine offerte

Déjà abonné ? Je me connecte

Anne-Emmanuelle LAMBERT.    Ouest-France

Retrouvez d'autres actus sur les communes de :

  • merci d'indiquer un nom de film
    merci d'indiquer un titre'
    • Choisir un resto :
    merci d'indiquer un nom de restaurant

    merci de saisir l'adresse du restaurant
    merci de saisir la ville du restaurant

    • Choisir un bar :
    merci d'indiquer un nom de bar

    merci de saisir l'adresse du bar
    merci de saisir la ville du bar

    merci d'indiquer un titre à votre avis
  •  
  • merci d'indiquer un contenu à votre avis
    merci de saisir une note
    L'accueil / la qualité du service
    merci d'indiquer une note pour l'accueil

    L'ambiance / le décor

    merci d'indiquer une note pour l'ambiance

    Le rapport qualité / prix

    merci d'indiquer une note pour le prix
  • Vos données personnelles font l’objet d’un traitement informatique par la société Additi Multimedia, sur le fondement de l'exécution d'un contrat et sont utilisées notamment pour prendre en compte, modérer et répondre à vos commentaires sur les contenus mis en ligne sur le site. Elles seront conservées conformément à notre politique de données personnelles, sauf dispositions légales particulières. Vous disposez d’un droit d’accès, de rectification, d’opposition, de limitation et de portabilité, en vous adressant directement à pdp@sipa.ouest-france.fr ou par courrier à "Délégué à la Protection des Données Personnelles SIPA Additi Multimedia - ZI Rennes Sud-Est,– 10 rue du Breil – 35051 Rennes cedex 9". Vous avez également le droit d’introduire une réclamation auprès de la CNIL. En savoir plus
Newsletter maville

Abonnez-vous à la newsletter - Alençon

Votre e-mail, avec votre consentement, est utilisé par la société Additi Com pour recevoir les newsletters sélectionnées. En savoir plus

Exprimez-vous !

Débat. Les réseaux sociaux aggravent-ils l'anxiété des jeunes ? 5
Réagir

L'info en continu

Quiz et jeux

Retour en haut